Este sitio web utiliza cookies para mejorar la experiencia de navegación, personalizar las tutorías académicas y desarrollar investigación pedagógica. Si continúa consideramos que acepta su uso. Acepto Política de cookies

El futuro del desarrollo profesional continuo en medicina

Es hora de abrazar el desarrollo profesional basado en competencias. La transición exigirá que los profesionales evalúen su desempeño clínico, los centros médicos faciliten indicadores de forma regular y capaciten educadores y las autoridades reguladoras viren hacia la certificación de competencias. 

La Fundación Practicum y la Sociedad Argentina de Gastroenterología firman un acuerdo de colaboración

Hasta doscientos gastroenterólogos especialistas y residentes de último año se beneficiarán del acuerdo sellado ayer entre la Fundación Practicum y la Sociedad Argentina de Gastroenterología para la concesión del mismo número de becas del curso de entrenamiento cognitivo Practicum Script de esta especialidad. 

Constituido el comité de autores español de Pediatría 2018-2019

Casi una veintena de expertos constituyen ya el comité nacional de autores de Practicum Script de Pediatría. La capacitación se ha desarrollado en tres seminarios online. El último de ellos ha sido tutorizado por el Dr. Jorge Martínez, médico adjunto del servicio de Pediatría del Hospital Infantil Universitario Niño Jesús de Madrid.

El profesor Schiavone, consultor internacional de Practicum Script, nuevo rector de la UCA

El Prof. Dr. Miguel Ángel Schiavone asumió ayer el rectorado de la Pontificia Universidad Católica Argentina (UCA). Releva en el cargo al arzobispo Víctor Manuel Fernández, el clérigo argentino más cercano al Papa. Practicum Script, herramienta de la que es consultor desde 2015, celebra su nombramiento.

Novatos y expertos clínicos activan áreas hemisféricas distintas en la toma de decisiones

A medida que los clínicos progresan, todo indica que la toma de decisiones descansa menos en el saber biomédico de base y más en la experiencia previa. Y, de acuerdo con un estudio publicado en Advances in Health Sciences Education, conforme aumenta la dificultad, el proceso de decisión clínica activa áreas neuronales distintas.

Error médico, educación y aprendizaje

Responsabilidad no directa, presencia de un testigo y consecuencias negativas para el paciente son las condiciones más propicias para un entorno error-friendly. Son las conclusiones de un estudio llevado a cabo en Alemania y publicado en la BMJ . La misma revista ya reveló en 2016 que el error médico es la tercera causa de muerte en EE.UU.

Practicum Script ya está disponible en versión app

El simulador de casos clínicos reales Practicum Script acaba de lanzar una aplicación móvil destinada a facilitar el entrenamiento clínico de los profesionales de Cardiología, Gastroenterología y Pediatría. La app mantiene las contraseñas y funcionalidades de la web y permite matricularse desde el teléfono.

La Fundación Practicum firma un acuerdo académico con la Sociedad Catalana de Pediatría

En virtud del convenio, un total de 120 residentes de los últimos años de pediatría en los hospitales universitarios de Cataluña se benefician sin coste del programa de entrenamiento del razonamiento clínico Practicum Script.

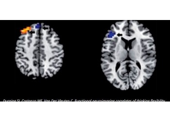
El pensamiento analítico y no analítico activa patrones anatómicos funcionales distintos

La "teoría dual del razonamiento" ha recibido un sólido sustento biológico en una investigación publicada en la Revista Medical Teacher, entre cuyos autores está el Dr. Cees P.M. van der Vleuten, miembro del Comité Científico de la Fundación Practicum.

Script Connect
Centro de atención personalizada

Ponemos a su disposición un servicio de atención personalizado, a través del cual obtener soporte técnico y ayuda, tanto para la navegación dentro del sitio como para el uso del programa.

Preguntas frecuentes